歯科金属アレルギー
Dental metal allergy

宮田歯科三田診療所 医長 冨川です。12月に入りますます寒くなってきましたね。 寒いの苦手です。大好きなゴルフも寒い中すると「何かの修行でもしてるのか」と思うことがあるくらい(笑)
でも好きなことだと嫌なことはついつい忘れてまたやっちゃうんですよね。風邪のひきやすい季節です。皆さんも体調管理はしっかりしてくださいね。さて、今日は「金属アレルギー」のお話です。


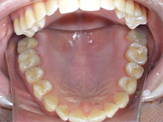
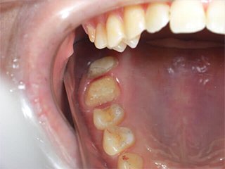
どこを治したかわかりますか?正解は、、、、、、、こうなってました。金属の詰め物、被せ物を取り、中の虫歯や金属片をきれいにし、形を整えたところです(写真は右上だけですが左上も同じようにします)。患者様が他院にて歯科治療を受け、健康保険適用の金属にて治療を終えてからもともとあったアトピー性皮膚炎が悪化し、調べたところ歯科金属アレルギーであったことが判明。当院にご相談に来られました。
治りの悪い皮膚や粘膜の病気の原因として、歯科治療で使用される金属に対するアレルギーが注目されています。特に、水銀を含むアマルガムをはじめとする、保険金属にその傾向が強くあります。
直接金属のあたる部分がかぶれるだけでなく、手足や全身にまで影響が及ぶことがあります(掌蹠膿疱症(しょうせきのうほうしょう))。突然の原因不明の皮膚病として悩まれるのですが、お口の金属が原因とは思いもよりません。素人が思わないばかりか、皮膚科医も、よく知らないこともあります。その場合皮膚科ではステロイド剤を処方する程度です。原因を絶たず、対処療法をするのですから良くなるわけがありません。むしろステロイド剤の副作用が恐くなります。
口腔内の金属アレルギーは、金属を使用してから数十年を経て突然発症することも多く、すぐに症状が現れるとは限りません。金属そのものは生体に対してアレルギー性を示しませんが、溶け出してプラスイオンとなり体の蛋白質と結合することによって、それを異物とみなした体が過剰反応を起こすのです。
花粉症やアトピー性皮膚炎など自己免疫に由来する様々な疾患との関連性が指摘されています。人体のメカニズムを狂わせることから、肥満、糖尿病、自閉症、発癌、老化などとも無縁ではないという見解も出されています。
このような疾患が増加している土壌となっているのは大気汚染、食品添加物、残留農薬、などの環境汚染です。それに加えて、歯科用金属の大量使用が症状を悪化させているのではないかと考えられています。
※特にアマルガムに含まれる水銀はもっとも危険な金属のひとつです。
そのため、現在、金属アレルギー反応のない方でも、お口の中の金属によって、アレルギーになってしまうおそれがあります。つまりお口の中に金属が存在し続ける以上、金属アレルギーになる危険性に常にさらされていることになるのです。また、一般的にパッチテストで原因金属を突き止めるのが基本と言われていますが、すべての金属に陰性(異常なし)を示すこともあるので注意が必要です。
このような場合でも仮の入れ歯に金属を埋め込み1ヶ月ほど放置すると、上記の症状が再現されることがあります。パッチテストでは反応しなくても歯科金属アレルギーが起こる可能性があると考えた方が良いと思います。口の中でゆっくりと溶け出して身体の中を回る(時間がかかる)ものと、接触性のアレルギーは別のものと考えた方が良いでしょう。当医院では、金属アレルギーの原因になる心配のない素材を用いた治療も行っております。

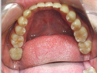
この患者さまは現在アトピー性皮膚炎も改善してきた上に歯もきれいになったとの事で大変喜んでいただいております。最近では美容のためにいろいろなデトックス(排毒)効果のあるものが話題に上がっていますが、歯科金属はアレルギーの問題に加え、お口の中の金属の種類が違うことによって電流が発生する「ガルバニー電流」やお口の金属が家電や高圧電線などからの電磁波を受け止めるアンテナになってしまう「電磁波過敏症」などの問題。
さらに言うと歯に詰められた毒性歯科金属から金属がイオンとして溶解し、歯肉の黒い着色を起こしたり、脳、肝臓、腎臓などの臓器に蓄積し、臓器機能障害を引き起こすことも。体内に蓄積された重金属により発生する活性酸素はDNAを傷つけ、ガンの原因にもなります。そして老化をスピードアップし、免疫力低下を招きます、、、、、、、、、。
特に毒性歯科金属は身体に大きな影響を与えます。24時間365日、ずっと口の中に存在し、溶け出て影響を及ぼし続けているのです。衣服や食事や住居の素材にこだわるより、歯科材料にこだわることが、一番効率の良い健康法かもしれませんよ。あなたが健康のことを考えるのでしたら、口腔内の毒性歯科材料を取り去ることを考えてみてはいかがでしょうか??
歯科用合金に含まれる
水銀について
かつて虫歯治療の詰め物などに、ごく一般的に使用されていた歯科材料のアマルガム。実は、高濃度の水銀が含まれている危険な物質です。現在ではアマルガムはほとんど使用されませんが、健康保険適応のため、まれに使用される場合もあります。
農薬残留問題や、食品の賞味期限切れ問題などが最近話題になっていたり、妊娠中の女性は、水銀を多く含んでいるマグロやキンメダイなどの魚を控えるよう勧められています。農薬も水銀も目には見えませんが、身体に悪い影響を与えることが分かっています。
歯の詰め物であるアマルガムは、誰の目にも見えますが50%もの水銀を含んでいます。他にも、パラジウムや銅、ニッケル・クロムなど、身体に良くない材料を使った歯科金属が、あなたの口の中に入っている可能性は十分あります。毒性歯科材料を使わない歯科治療をすること、そして既に入っている毒性歯科材料を除去するのが、世界的な流れとなりつつあります。
当医院では、人体への配慮から水銀アマルガムは一切使用しておりません。また、過去の治療におけるアマルガムが、お口に存在する場合には、取り除き、体に優しい材料と取り替えることをお勧めしています。